Teste 4 – Biologia

 


10º ano – Obtenção de matéria (auto e heterotróficos)

11º ano  –  Crescimento e renovação celular 


 

 

GRUPO I

 

Elodea é uma planta aquática perene muito utilizada em aquariofilia. Plantas do género Elodea são vulgarmente utilizadas em experimentos laboratoriais para a análise do movimento citoplasmático dos cloroplastos, a ciclose. A ciclose é um movimento coordenado de partículas e organelos através do citoplasma em uma via helicoidal, para baixo num lado da célula e para cima do outro lado. A corrente citoplasmática ocorre na maioria das células vegetais. As forças necessárias para o movimento podem ser geradas por uma interação dos microfilamentos protéicos de actina e miosina, de modo comparável à interação protéica que ocorre durante a contração muscular em animais.

Material e métodos:

Foram utilizadas 3 garrafas PET com 1,250L de água de torneira. Os recipientes foram etiquetados com números de um a três. Em cada recipiente foram introduzidas duas plantas medindo aproximadamente 30 cm cada.

O recipiente de número um continha apenas a água de torneira à luz e temperatura ambiente de 19oC (este foi utilizado como controle). O recipiente número dois continha água de torneira com 25g de sal de cozinha. E o recipiente número três foi exposto à luz e calor mais intenso, provenientes de uma lâmpada de 200W, que elevou a temperatura da água de 19oC para 25oC.

 

Resultados:

Primeiramente, com o uso de um oxímetro, analisaram-se as mudanças no metabolismo celular da planta, percebendo alterações nas concentrações de oxigénio na água. Em seguida, foi feita análise a nível celular com a utilização de um microscópio óptico. Foram analisadas as variações na atividade do citoplasma da planta elodea através da ciclose, onde foi possível observar a variação da velocidade dos cloroplastos.

Figura 1 –Taxa de oxigénio dissolvido na água por unidade de tempo. 

 

[

adaptado de: ELODEA (Elodea sp.): MOVIMENTOS CITOPLASMÁTICOS, A ATIVIDADE DOS CLOROPLASTOS, MUDANÇAS NO METABOLISMO CELULAR VEGETAL E SUA RELAÇÃO COM A TAXA DE OXIGÉNIO DISSOLVIDO EM ÁGUA. Bárbara Kuhn, Caroline Charão Sartor, Johnny A. R. Zenzen, Miguel Machado da Silva & Rithiele Facco de Sá

 

1. Colocou-se a hipótese de a ciclose ser mais intensa quando as plantas são sujeitas à luz.

Explique em que medida os resultados obtidos  nesta experiência corroboram essa hipótese e em que medida este mecanismo poderá constituir uma vantagem  para a  elódea.

 

Resolução

  • Tópico 1: referência a que no estudo experimental descrito o movimento de ciclose ocorre a uma maior velocidade quando a elódea é exposta a luz e calor mais intenso, provenientes de uma lâmpada de 200W.
  • Tópico 2 : referência a que os movimentos de  ciclose permitem   o movimento dos cloroplastos para a parte mais exterior do citoplasma para facilitar a captação da luz e calor vindos do meio externo.
  • Tópico 3: referência a que uma maior captação de luz irá permitir aumentar a taxa fotossintética e assim aumentar a produtividade primária de elódea.

 

 

2. No estudo experimental descrito constitui uma variável independente ______.

 

(A) a espécie de elódea utilizada.

(B) a concentração de oxigénio dissolvido na água.

(C)  a temperatura

(D)  a distância percorrida pelos cloroplastos.

Resolução

  • Opção C
  • O objetivo da atividade experimental descrita foi avaliar  a influencia do meio onde se encontra, e da temperatura na corrente citoplasmática (ciclose) da elodea. Assim, a composição do meio e a temperatura constituem as variáveis independentes do estudo experimental descrito.

 

 

3. Uma das formas de garantir a fiabilidade dos resultados do estudo experimental descrito foi ter______.

 

(A) incluído um elevado número de plantas por recipiente.

(B) exposto as plantas de recipientes diferentes a iluminação distinta.

(C) colocado a mesma quantidade de água em cada recipiente.

(D) sujeito as plantas de recipientes diferentes ao mesmo tipo de iluminação.

Resolução

  • Opção C
  • Exclui-se a opção A pois em cada recipiente foram colocadas apenas 2 plantas.
  • Exclui-se a opção B e D pois nem todos os recipientes foram sujeitos à mesma radiação, o recipiente 1 e 2 foram sujeitos à mesma iluminação, mas o recipiente 3 foi sujeito a iluminação com lâmpada.

 

 

4. A  adição de 25 g de sal ao meio terá contribuído para _____ da pressão osmótica do meio extracelular conduzindo de imediato a   _______  .

 

(A) diminuição …. um aumento do influxo da água

(B) diminuição ….  uma diminuição do influxo da água

(C) aumento …. uma diminuição do efluxo de água

(D) aumento …. um aumento do efluxo de água

Resolução

  • Opção D
  • O aumento da salinidade do meio, conduz ao aumento da pressão osmótica do meio. O movimento de água ocorre do meio de menor pressão osmótica para o meio de maior pressão osmótica, assim quando colocadas em meio hipertónico as células tendem a perder água (saída ou efluxo de água).

 

 

5. Durante o processo fotossintético de elódea a absorção de luz de comprimento de onda correspondente ao ______ pelas clorofilas conduz à imediata _______ dos pigmentos fotossintéticos.

 

(A) verde …. oxidação

(B) verde … redução

(C) azul-violeta ….. oxidação

(D) azul – violeta …. redução.

Resolução

  • Opção C
  • Na elódea os principais pigmentos fotossintéticos são as clorofilas. As clorofilas absorvem luz principalmente dos comprimentos de onda correspondentes ao azul-violeta e vermelho-alaranjado. Ao absorverem energia luminosa as clorofilas sofrem oxidação.

 

 

6. No recipiente número 3, a taxa de ______  terá sido superior à registada no tubo controlo, o que conduziu de imediato    _____.

 

(A) oxidação da água ……. a uma maior libertação de oxigénio.

(B) oxidação da água ….. a um menor consumo de oxigénio.

(C) oxidação do CO2 …. a uma maior libertação de oxigénio.

(D) oxidação do CO2 … a um menor consumo de oxigénio.

Resolução

  • Opção A
  • No recipiente número três é onde se verifica um aumento mais significativo do teor de oxigénio na água o que sugere uma maior taxa de oxidação da água e consequentemente uma maior libertação de oxigénio.
  • Nota que: o oxigénio libertado na fotossíntese resulta da fotólise/ oxidação da água.

 

 

7. No recipiente dois verifica-se uma diminuição do teor de oxigénio dissolvido na água o que poderá ser uma consequência direta  _____.

 

(A)  do decréscimo da taxa de fotólise da água ao nível da membrana dos tilacóides.

(B)  do acréscimo na taxa de fotólise da água ao nível da membrana dos tilacóides.

(C)  do decréscimo da taxa de fotólise da água ao nível do estroma.

(D) do acréscimo da taxa de fotólise da água ao nível do estroma.

Resolução

  • Opção A
  • O oxigénio é um subproduto da fotossíntese que resulta diretamente da fotólise da água. A fotólise da água ocorre na etapa fotoquímica que tem lugar ao nível da membrana dos tilacóides. Assim, um decréscimo do teor de oxigénio libertado indica um decréscimo na taxa de fotólise da água ao nível da membrana dos tilacóides.

 

 

8. O aumento da temperatura do meio em que a elodea se encontra faz com que ____ a velocidade de  movimento dos cloroplastos e a taxa libertação de oxigénio pelo que será também de esperar um aumento da taxa _______.

 

(A) aumente …. redução do CO2

(B) aumente … oxidação do CO2

(C) diminua … redução do CO2

(D) diminua …. oxidação do CO2

Resolução

  • Opção A
  • O aumento da temperatura conduz a um aumento da velocidade do movimento dos cloroplastos e a um aumento da taxa de libertação de oxigénio o que pressupõem um aumento da taxa fotossintética. O aumento da taxa fotossintética traduz-se num aumento da redução do CO2.

 

 

9. Comparativamente ao recipiente três no recipiente controlo deverá registar-se ______.

 

(A) uma maior fosforilação de ADP.

(B) uma menor oxidação de NADPH.

(C) uma maior oxidação de NADPH.

(D) uma maior produção de glicose.

Resolução

  • Opção B
  • Na primeira etapa da fotossíntese tem lugar a fosforilação de ADP e a redução do NADP+. Na segunda etapa tem lugar  a oxidação de NADPH e a desfosforilação (hidrólise) do ATP e produção de glicose. Assim, uma menor libertação de oxigénio indica um decréscimo da taxa fotossintética e consequentemente uma menor oxidação do NADPH.

 

 

10. Os resultados deste estudo experimental  demonstram que_____.

 

(A) o comprimento de onda usado influência a taxa fotossintética.

(B) o aumento da salinidade conduz a um aumento da excitação das clorofilas.

(C) a ciclose depende da temperatura.

(D) é possível avaliar de forma indireta a taxa fotossintética da elódea com base na libertação de bolhas de CO2.

Resolução

  • Opção C
  • De acordo com os resultados do estudo experimental descrito a velocidade da ciclose aumenta com o aumento da temperatura.

 

 

11.  Na  Elódea os fosfolípidos desempenham  uma função ______ e contribuem para ______ da fluidez da membrana plasmática.

 

(A) estrutural …  o aumento

(B) estrutural … a diminuição

(C) de reserva … o aumento

(D) de reserva …. a diminuição

Resolução

  • Opção A
  • Os fosfolípidos são biomoléculas com função estrutural  e contribuem para o aumento da fluidez da membrana plasmática.

 

 

12.  Durante a etapa _______  do processo fotossíntético ocorre a ______  de trioses.

 

(A) química …. fosforilação

(B) química  …. desfosforilação

(C) fotoquímica …. fosforilação

(D) fotoquímica ….. desfosforilação

Resolução

  • Opção A
  • Durante a etapa química (Ciclo de Calvin) ocorre a fosforilação de trioses (PGA).

 

 

13. Ordene as afirmações identificadas pelas letras de A a E, de modo a reconstituir a sequência de etapas envolvidas na produção de compostos orgânicos pela Elódea.

 

A. Os eletrões fluem ao longo de um conjunto de proteínas, com fosforilação de ADP em ATP.

B. Fixação do carbono inorgânico.

C. Libertação de oxigénio.

D. Absorção de fotões.

E. Oxidação de NADPH .

Resolução

  • D-C-A-B-E

 

GRUPO II

 

A fenilcetonúria (pKu) é uma desordem do metabolismo dos aminoácidos causada, na maioria dos casos, pela deficiente actividade da enzima hepática, fenilalanina hidroxilase (PAH). Mutações no gene PAH prejudicam a função da enzima hepática que catalisa a conversão de aminoácidos essenciais da L-fenilalanina  em L-tirosina, um percursor dos neurotransmissores (dopamina, noradrenalina e adrenalina) e melanina. O gene PAH está localizado no cromossoma 12 contém 13 exões, codificando um polipeptídeo de 452 aminoácidos e formando um transcrito de leitura de 1359 pares de bases. Até hoje, mais de 800 mutações foram descritas no gene PAH.

A terapia génica pode ser definida como a inserção de um gene funcional em certas células para corrigir uma disfunção celular ou para induzir uma nova função celular. A transferência génica, mediada por vetores, é ainda o desafio mais relevante para o sucesso clínico da terapia génica. Os vetores virais são os métodos mais utilizados para esta transferência.

Os vetores de lentivírus1,  para terapia com PKU inserem permanentemente um gene PAH funcional no DNA da pessoa. A permanência da terapia com vetores de lentivírus é especialmente importante para o tratamento de neonatos ou crianças pequenas. O objetivo é modificar as células do fígado com vetores de lentivírus e reconstituir a capacidade de metabolizar a fenilalanina.  Os vetores de lentivírus integrados são ideais para medicamentos genéticos permanentes porque eles fornecem um transgene integrado que se replica com o DNA do hospedeiro durante cada divisão celular e a dose do medicamento genético aumenta em proporção ao crescimento do fígado.

1-Lentivírus – é um tipo de vírus que insere uma cópia de seu genoma de RNA no DNA de uma célula hospedeira que ele invade, alterando assim o genoma dessa célula. Uma vez dentro do citoplasma da célula hospedeira, o vírus usa sua própria enzima transcriptase reversa para produzir DNA a partir de seu genoma de RNA.

 

Figura 2 –Fenilcetonúria e terapia génica para a fenilcetonúria.

 

adaptado de: https://www.americangene.com/pipeline/phenylketonuria-pku/

1. Em Portugal, o rastreio da fenilcetonúria é efectuado a todos os recém-nascidos realizando o teste do pezinho, através do sangue colhido por picada no pé, entre o 3º e o 6º dia de vida, para que possa ser realizada a dosagem quantitativa de fenilalanina. Para que este teste possa ser confiável, é necessário que o recém-nascido tenha pelo menos 48 horas de vida e tenha recebido alimentação proteica (leite materno).

Explique a importância da realização do teste do pezinho.

 

Resolução

  • Tópico 1: referência a que após 48 horas de vida e após ter ingerido leite materno o recém-nacido terá efetuado a ingestão de proteínas e da digestão das mesmas terá resultado o aminoácido fenilalanina.
  • Tópico 2: referência a que nos recém nascidos que sofram de fenilcetónuria os níveis sanguíneos de fenilalanina após 48h de vida serão elevados.
  • Tópico 3: referência a que após a deteção da doença o recém nascido deverá ser sujeito a uma dieta pobre em proteínas de modo a diminuir a concentração sanguínea de fenilalanina.

 

2. A etapa assinalada na figura 2 com o número 1 representa a etapa ______ da qual resulta um polímero de _______.

 

(A) transcrição…. ribonucleótidos

(B) transcrição … desoxirribonucleótidos

(C) replicação …. ribonucleótidos

(D) replicação…. desoxirribonucleótidos

Resolução

  • Opção A
  • A etapa assinalada com o número 1 representa a transcrição, onde é produzido o RNA (polímero  de ribonucleótidos).

 

 

3. A transcrição do gene associado à PKU _____.

 

(A) origina proteínas que levam a um aumento da concentração melanina.

(B) envolve a formação de moléculas de RNA por ação da enzima RNA-polimerase.

(C) ocorre ao nível do citoplasma, com formação de pré-mRNA.

(D) baseia-se na leitura de tripletos de mRNA.

Resolução

  • Opção B
  • Durante a transcrição de um gene a enzima RNA polimerase, efetua a leitura da informação contida no DNA produzindo uma molécula de RNA.

 

 

4. Na terapia génica para a fenilcetonúria referida no texto o gene terapéutico é inserido em células ____, passando a expressar-se _____.

 

(A) germinais …. em todas as células do organismo

(B) germinais …. apenas nas células do fígado

(C) somáticas …. em todas as células do organismo

(D) somáticas …. apenas nas células do fígado.

Resolução

  • Opção D
  • Na terapia génica para a fenilcetonúria o gene terapéutico é inserido nas células do figado (células somáticas), passando a expressar-se apenas nas células do órgão onde foi inserido, ou seja no figado.

 

 

5. A formação polipéptido codificado pelo gene PAH ocorre nos ribossomas, onde a molécula de _______.

 

(A) DNA é traduzida.

(B) RNAm é transcrita.

(C) RNAm é traduzida.

(D) DNA é transcrita.

Resolução

  • Opção C
  • Ao nível dos ribossomas ocorre a tradução do mRNA.

 

 

6. Num indivíduo normal a síntese da enzima PAH funcional ____.

 

(A) por células diferenciadas, implica fenómenos de regulação da expressão génica ao nível da transcrição.

(B) por células diferenciadas, implica o silenciamento do gene PHA.

(C) por células indiferenciadas, resulta diretamente da adição de nucleótidos de timina.

(D) por células indiferenciadas, implica diretamente atuação da DNA polimerase.

Resolução

  • Opção A
  • A enzima PHA é produzida pelas células do figado (células diferenciadas). A regulação da expressão dos genes pode ocorrer ao nível da transcrição.

 

 

7. A técnica de terapia génica para a PKU representada na figura 2, implica o silenciamento do gene  PHA mutado uma vez que impede _____ deste.

 

(A) a tradução.

(B) a transcrição.

(C) a replicação.

(D) o processamento.

Resolução

  • Opção A
  • O silenciamento do gene mutado implica a utilização de uma molécula de RNA que se liga por complementaridade ao mRNA que codifica a proteina alterada, impedindo que este seja traduzido e que a proteína seja produzida.

 

 

8. O vetor de lentívirus para terapia com PKU ____.

 

(A) apresenta  material genético com uma composição química diferente da do material genético da célula a tratar.

(B) é capaz de expressar o gene  para a enzima fenilalanina hidroxilase funcional.

(C) apresenta no seu interior toda a maquinaria enzimática necessária à sintese da enzima funcional.

(D) apresenta material genético com uma composição química idêntica à do material genético da célula a tratar.

Resolução

  • Opção A
  • De acordo com a informação fornecida no texto o lentívirus usado apresenta como material genético o RNA.
  • A célula hospedeira é uma célula humana, logo o seu material genético corresponde ao DNA.
  • RNA e DNA apresentam diferente composição química.

 

 

9. Num neonato é possível encontrar células estaminais ____. 

 

(A) totipotentes, indiferenciadas, com um grau de diferenciação celular muito reduzido.

(B) multipotentes, que poderão diferenciar-se em qualquer tecido do organismo.

(C) pluripotentes, indiferenciadas, que podem originar um organismo completo.

(D) estaminais adultas, que apresentam um elevado potencial de diferenciação.

Resolução

  • Opção D
  • Num recém nascido é possível encontrar  no cordão umbilical células estaminais adultas, chamadas de multipotentes que embora não possam diferenciar-se em qualquer tipo de tecido apresentam um elevado potencial de diferenciação.

 

 

10. A enzima transcriptase reversa tem um modo de atuação _____.

 

(A) similar ao da DNA polimerase.

(B) similar ao da RNA polimerase.

(C) contrário ao da DNA polimerase.

(D) contrário ao da RNA polimerase.

Resolução

  • Opção D
  • A transcriptase reversa lê a informação contida no RNA e a partir desta produz DNA, ou seja tem uma ação contrária à da RNA polimerase.

 

 

 11. O mRNA que contém a informação para a síntese da PHA funcional inclui _______.

 

(A) 13 exões e 12 intrões

(B) 452 ribonucleótidos

(C) 453 codões

(D) 1359 pares de bases

Resolução

  • Opção C
  • O mRNA que codifica a PHA funcional deverá conter 453 codões, pois como a proteina é constituída por 452 aminoácidos o mRNA deverá incluir 453 codões ( 452 + codão de finalização).

 

 

12. Ordene as letras de A a E, de modo a reconstituir a sequência cronológica dos acontecimentos associados à terapia génica para a PKU.

 

A. O transcrito PAH é traduzido para proteínas.

B. Após a ligação do vírus aos recetores das células humanas, os vírus sofrem endocitose e são englobados.

C. A proteina PHA é  transportada ao longo do complexo de Golgi.

D. O material genético do vírus é libertado para o citoplasma.

E. O aminoácido fenilalanina (Phe) é convertido em tirosina (Tyr).

F. O material genético  do vetor viral atravessa a membrana nuclear.

G. Transcrição do gene que codifica a PHA funcional

Resolução

  • B-D-F-G-A-C-E

GRUPO III

 

As plantas com potencial medicinal têm sido muito utilizadas para o tratamento de doenças. Vicentini et al. (2001) relataram que as infusões de plantas medicinais podem conter substâncias tóxicas com efeitos mutagénicos. Para informar a respeito de possíveis alterações ocorridas pela presença de substâncias mutagénicas na sua composição ou decorrentes do seu metabolismo são utilizados estudos citogenéticos em núcleos eucarióticos .

O objetivo deste estudo foi avaliar o efeito genotóxico e antiproliferativo de infusões de Mikania cordifolia  sobre o ciclo celular de Allium cepa.

Material e métodos:

  • Foram coletadas duas populações no município de Santa Maria, Rio Grande do Sul.
  • Para cada população, foram colocados para enraizar em água destilada quatro grupos de cinco bolbos de cebola, os quais constituíram 4 tratamentos com 5 repetições cada. Após o enraizamento, os bolbos foram transferidos para os seguintes tratamentos:

    T1- Controle negativo;

    T2- Infusão 4g/500mL de M. cordifolia;

    T3- Infusão 16g/500mL de M. cordifolia;

    T4- Controle positivo em glifosato 10%, onde permaneceram por 24 horas. O glifosato foi utilizado como controle positivo, pois comprovadamente induz alterações cromossómicas e inibe a divisão celular em células meristemáticas de A. cepa.

  • Após um período de 24 horas, as radículas foram coletadas das infusões, fixadas em etanol-ácido acético (3:1) por 24 horas e estocadas em etanol 70%. Foram analisadas células em todas as fases do ciclo celular de A. cepa, totalizando 2500, para cada grupo de bolbos. Os índices mitóticos (IM). O número total de células analisadas por bolbo foi de 500 células, totalizando 2500 células analisadas/tratamento. As lâminas foram avaliadas com auxílio de microscópio óptico com a objetiva de 40X.

     

Resultados:

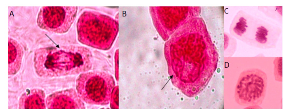
Figura 3 – Células de Allium cepa submetidas à infusão de Mikania cordifolia.

 

Tabela 2 – Populações, tratamentos, número de células analisadas e índice mitótico da infusão de Mikania cordifolia no ciclo celular (interfase, prófase, metáfase, anáfase, telófase) do meristema radicular de Allium cepa

 

Tabela 3 – Populações, tratamentos, número de células em divisão, número de aberrações celulares e porcentagem de aberrações celulares da infusão de Mikania cordifolia de meristemas radiculares de Allium cepa.

 

adaptado de: Efeito genotóxico e antiproliferativo de Mikania cordifolia (L. F.) Willd. (Asteraceae) sobre o ciclo celular de Allium cepa L. DIAS, M.G. 1; CANTO-DOROW, T.S. 1; COELHO, A.P.D.1; TEDESCO, S.B.1*1 Universidade Federal de Santa Maria/UFSM, Avenida Roraima, s/n, CEP: 97105-900, Camobi, Santa Maria/ RS-Brasil. *solatedesco@gmail.com

 

1. O glifosato é um composto químico vulgarmente usado na agricultura para a eliminação de ervas daninhas. Tendo por base os resultados do estudo experimental descrito explique  quais os efeitos deste pesticida no desenvolvimento  de Allium cepa.

 

Resolução

  • Tópico 1: referência a que os resultados do estudo experimental descrito demonstram que a aplicação de glifosato diminui o número de células das radículas de A. cepa em divisão mitótica.
  • Tópico 2: referência a que o crescimento das radículas implica a ocorrência de divisões mitóticas, assim os resultados do estudo experimental sugerem que o glifosato inibe o crescimento das radículas.
  • Tópico 3: referência a que um menor desenvolvimento da radícula poderá traduzir-se numa menor absorção de água e sais minerais fundamentais ao desenvolvimento de A. cepa.

 

 

2. No estudo experimental descrito constitui uma variável dependente ______.

 

(A) a concentração da infusão

(B) o número de células em mitose

(C) a origem da população

(D) a espécie de planta usada para preparar a infusão.

Resolução

  • Opção B
  • O objetivo do estudo experimental descrito foi avaliar o efeito genotóxico e antiproliferativo de infusões de Mikania cordifolia  sobre o ciclo celular de Allium cepa. Logo uma das variáveis dependente corresponde ao efeito  antiproliferativo, que é avaliado  pelo número de células em mitose.

 

 

3. O controlo negativo do estudo experimental descrito deverá ser constituído _____.

 

(A) apenas pela infusão de Mikania cordifolia.

(B) apenas por uma solução de glifosato.

(C) bolbos de A. cepa colocados em água destilada.

(D) apenas água destilada.

Resolução

  • Opção C
  • Como o objetivo do estudo experimental descrito foi avaliar o efeito genotóxico e antiproliferativo de infusões de Mikania cordifolia  sobre o ciclo celular de Allium cepa. O controlo negativo deverá ser constituído por bolbos de A. cepa  não sujeitos à infusão, ou seja colocados em água destilada.

 

 

4. De forma a garantir a fiabilidade dos resultados deste estudo experimental, os investigadores _______.

 

(A) utilizaram  plantas de uma única população.

(B) identificaram a percentagem de células que se encontravam em cada fase da mitose.

(C) estudaram vários fatores em simultâneo.

(D)  mantiveram controlados todos os fatores exceto a variável experimental.

Resolução

  • Opção D
  • De modo a garantir a fiabilidade dos resultados os cientistas mantiveram todas as condições controladas exceto a variável em estudo.
  • Exclui-se a opção A, pois foram usadas plantas de diferentes populações. Exclui-se a opção B, pois apenas foram determinadas o número de células em mitose, não tendo sido determinada a percentagem de células nas diferentes fases da mitose. Exclui-se a opção C, pois o estudo de vários fatores em simultâneo diminui a fiabilidade de uma experiência.

 

 

5. De acordo com os resultados obtidos a aplicação do glifosato aumentou o número de células em que o  material genético se encontra _______e diminuiu o número de células_____.

 

(A) condensado …. em fase de síntese de biomoléculas

(B) condensado … em fase de divisão nuclear

(C) descondensado … em fase de síntese de biomoléculas

(D) descondensado … em fase de divisão nuclear

Resolução

  • Opção D
  • A aplicação do glifosato (tratamento T4) aumento o número de células em interfase. Durante a interfase o material genético encontra-se descondensado e a célula encontra-se em fase de síntese de biomoléculas.

 

 

6. Neste trabalho, as infusões de M. cordifolia _________ o número de células em fase de multiplicação de organelos, apresentando um efeito _____ ao do glifosato.

 

(A) aumentaram   …… similar

(B) aumentaram ….. contrário

(C) diminuiram …… similar

(D) diminuiram ……  contrário

Resolução

  • Opção A
  • Os resultados mostram que a  aplicação das infusões aumenta o número de células em interfase (fase de síntese de biomoléculas e multiplicação de organelos), tal como acontece com o tratamento com o glifosato.

 

 

7. Nas células representadas no esquema C da figura 3 ______.

 

(A) cada cromossoma é constituído por duas cadeias polidesoxirribonucleotídicas.

(B)  cada cromossoma é constituído por dois cromatídeos unidos pelo centrómero.

(C) cada cromossoma é consttuído por quatro cadeias polidesoxirribonucleotídicas.

(D) as fibrilas do fuso acromático formadas a partir dos centríolos sofrem encurtamento.

Resolução

  • Opção A
  • A figura C representa células em anafase. Em anafase cada cromossoma é constituído por um único cromatídeo, ou seja corresponde a uma única molécula de DNA (cada molécula de DNA é constituída por duas cadeias polidesoxirribonucleotídicas.
  • Exclui-se a opção D, pois as células vegetais não apresentam centríolos.

 

 

8. As células  das radículas observadas ao microscópio podem distinguir-se das células animais pois _____.

 

(A) apresentam um núcleo individualizado.

(B) apresentam citoplasma, membrana celular e ribossomas.

(C) apresentam mitocôndrias e  cloroplastos.

(D) apresentam  parede celular de natureza celulósica.

Resolução

  • Opção D
  • Uma característica distintiva das células vegetais é a presença de parede celular.
  • Exclui-se a opção A e B pois células vegetais e animais têm em comum o núcleo individualizado, o citoplasma, a membrana celular e  os ribossomas.
  • Exclui-se a opção C, pois as radiculas não apresentam cloroplastos.

 

 

9. Assumindo que no início da interfase a quantidade de DNA numa célula da radícula é de Q, no final do período S e em Prófase a quantidade de DNA nessa mesma célula será, ____, respetivamente.

 

(A) 2Q e 4Q

(B) 4Q e 4Q

(C) 4Q e 2 Q

(D) 2Q e 2Q

Resolução

  • Opção D
  • Durante o período S da interfase tem lugar a replicação semiconservativa da molécula de DNA, de tal modo que cada cromossoma passa a ser constituído por dois cromatídeos,  levando a que a quantidade de DNA duplique. Assim, se no início da interfase a quantidade de DNA for Q, no final de S passará a ser 2Q, não ocorrendo qualquer alteração em profase, mantendo-se em 2Q.

 

 

10. A análise da figura 3 permite concluir que em _____ os cromossomas já atingiram a máxima espiralização  e cada cromossoma apresenta____.

 

(A) D ….. um cromatídeo.

(B) D ….. dois cromatídeos.

(C) C ….. um cromatídeo.

(D) C ….. dois cromatídeos.

Resolução

  • Opção C
  • A figura D representa células em profase e a figura C representa células em anafase. Em profase o material genético inicia a sua condensação, mas só atinge o máximo em metafase. Logo apenas  em C o material genético atingiu o máximo de condensação.  Em anafase cada cromossoma é constituído por um único cromatídeo.

 

 

11. Na fase  que antecede imediatamente a fase representada na figura _____.

 

(A) B, tem lugar replicação conservativa do material genético.

(B) B, tem lugar a transcrição do material genético.

(C) C, tem lugar a separação de cromossomas homólogos.

(D) C, tem lugar a descondensação do material genético.

Resolução

  • Opção B
  • A figura B representa células em profase. A figura C representa células em anafase.
  • Imediatamente antes da profase tem lugar o período G2, onde ocorre a transcrição da informação genética de modo a produzir biomoléculas, principalmente proteínas.

 

 

12. Ordene as frases identificadas pelas letras de A a F, de modo a reconstituir a sequência cronológica de acontecimentos envolvidos no processo de divisão celular de A. cepa.

 

A. Clivagem do cetrómero.

B. Formação de uma díada celular.

C. Acção da enzima DNA polimerase.

D. Formação da placa celular.

E. Formação da placa equatorial.

F. Formação de fibrilas cromossómicas.

Resolução

  • C-F-E-A-D-B
  • A- Anafase; B – Citocinese; C – replicação do DNA; D- Citocinese; E- Metafase; F – Profase.

 

FIM

 

Deixe um comentário

O seu endereço de email não será publicado. Campos obrigatórios marcados com *

Scroll to Top
× Como podemos ajudar?